По изјавата на Доналд Трамп дека постои врска помеѓу земањето „тиленол“ („парацетамол“) за време на бременоста и нарушувањето од аутистичниот спектар, бремените жени почнаа да објавуваат...
Речиси 50 проценти од бензинските пумпи во окупираниот Крим и во Севастопол престанаа да продаваат бензин поради прекини во снабдувањето со гориво, објави рускиот провладин медиум...
Украинската воена разузнавачка служба (ХУР) изврши успешен напад со беспилотни летала во окупираниот Крим уништувајќи два руски транспортни авиона „ан-26“ и две радарски станици, објави агенцијата...
Во Битола синоќа на свеченост во чест на лауреатот на 46. издание на ИФФК „Браќа Манаки“, Дариус Конџи, министерот за култура и туризам, Зоран Љутков му...
Кинескиот претседател Кси Џинпинг им соопшти на Обединетите нации дека неговата земја планира да ги намали емисиите на стакленички гасови за 7-10 проценти од врвните нивоа...
Регионалниот центар за управување со кризи на Град Скопје, по добиеното известување од ЕВН Македонија АД, информира дека поради технички зафати во електродистрибутивната мрежа, денеска, без...
По добиеното известување од ЈП Водовод и Канализација, Регионалниот центар за управување со кризи на Град Скопје информира дека денеска поради планирани зафати без водоснавбдување ќе...
Времето денеска ќе биде променливо облачно со сончеви периоди. Попладне ќе има услови за изолирана појава на краткотраен дожд и ретки грмежи. Ќе дува слаб до...
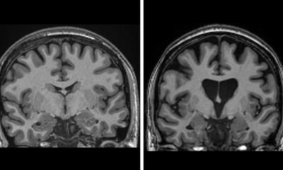
Во револуционерното клиничко испитување, лекарите за прв пат успешно ја излекуваа Хантингтоновата болест, разорна наследна болест која постепено ги уништува мозочните клетки. Новата генска терапија го...
Украинскиот претседател Володимир Зеленски одржа остар говор на Генералното собрание на Обединетите нации во Њујорк, повикувајќи ги светските лидери да преземат итни мерки против Русија. Неговиот...